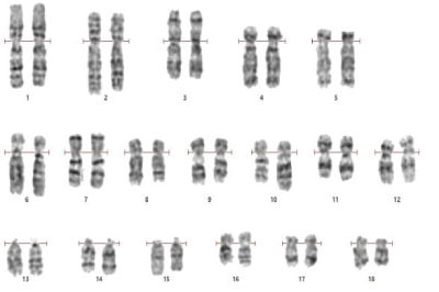
Vision Karyo

- — High accuracy of automatic karyotyping of chromosomes, construction of idiograms
- — Automatic recognition of human chromosomes
- — Automatic separation of overlapping and contacting chromosomes
- — Editing a karyogram: transfer, rotation, straightening of chromosomes
- — Creating your own idiogram databases
- — Comparison of chromosomes and/or idiograms
Key features

Chromosome separation
Automatic separation of overlapping and contacting chromosomes

Karyogram
Automatic karyogram construction, editing

Documentation
Automatic report generation
Vision Metaphase Finder

- — Creation of a digital drug
- — Identification of metaphase plates
- — Collection of metaphase plates
- — Gallery of images of metaphase plates
Collecting metaphase plates at high magnification

Image correction
Improving bands, changing brightness and contrast, increasing image sharpness

Manual counting
Manually counting the number of chromosomes in an image of the metaphase plate

Cutting out fragments
Cutting out the part of the image containing the chromosomes for analysis
Chromosomal FISH analysis
Vision FISH is designed to automate cytogenetic studies using fluorescence in situ hybridization, providing accurate detection of specific DNA sequences.

Download
West Medica | Automated Chromosome Karyotyping